La Ecografía de Alta Resolución y Doppler son las prueba de ultrasonidos que se realizan durante el embarazo para conocer el estado del bebé y conocer si el líquido amniótico que lo envuelve es el adecuado. Estas exploraciones dentro de la obstetricia también ayudan a saber si la placenta es normal o si tiene alguna anomalía de estructura o de función.
En el Instituto de obstetricia y ginecología en Barcelona, de la Dra. Gómez Roig, trabajan especialistas expertos en Ecografía de Alta Resolución y Doppler que le acompañarán durante el control del embarazo. Nuestros especialista, dentro de nuestros servicios médicos, le ofrecerán un seguimiento próximo y de alta calidad profesional.
¿Qué es una ecografía obstétrica?
La Ecografía Obstétrica es aquella que se realiza durante el embarazo, vía transvaginal o vía abdominal, que estudia la viabilidad de la gestación, si evoluciona según lo esperado, así como la anatomía y morfología del feto.
Esta ecografía obstétrica también informa del bienestar de su bebé dentro del útero.
Los ultrasonidos forman parte del diagnóstico prenatal durante el embarazo.
En los últimos años el campo del diagnóstico prenatal y la ecografía obstétrica han experimentado un avance muy importante. El avance de esta subespecialidad se debe, en parte, a la mejora existentes en los ecógrafos utilizados, dotados cada vez de mejor tecnología. La gran especialización de los médicos también ayuda en las mejorías del diagnóstico prenatal.
¿Cómo se realizan durante el embarazo?
Los ultrasonidos que se realizan durante el embarazo siguen la misma teoría y/o metodología que las que se realizan en la gente no embarazada. Las únicas características que cambian en las gestantes, es que dependiendo de las semanas gestacionales el transductor que se utiliza se coloca vía vaginal o vía abdominal.
El ultrasonido de primer trimestre puede requerir el uso transvaginal hasta la semana 11-13 de embarazo. A partir de la semana 13-14 el transductor abdominal ya es útil para obtener buenas imágenes.
Los médicos, siempre que realizan una exploración de este tipo, utilizan un gel que transmite las señales entre la sonda del transductor y la paciente. Habitualmente el gel está algo frío, y por eso siempre es recomendable avisar a la mujer antes de su uso.
Las imágenes que se obtienen con estas pruebas se pueden paralizar, de manera que los médicos sin presenciar el movimiento del feto pueden realizar las medidas de interés. En el caso de los embarazos lo que se miden son las medidas del feto. Con las biometrías fetales (medidas) se comprueba que el crecimiento del futuro recién nacido sea correcto.
¿Cuántas ecografías en el embarazo son recomendables?
Las ecografías que se recomiendan en el embarazo de bajo riesgo son tres, una en cada trimestre de la gestación. En todas las exploraciones obstétricas se debe seguir una sistemática con unos objetivos básicos bien definidos.
¿Qué tipos de ecografías del embarazo hay?
Las ecografías del embarazo se diferencian en:
- Primer trimestre
- Segundo trimestre
- Tercer trimestre
- Ecografía Doppler
Ecografía del Primer Trimestre
La Ecografía del Primer Trimestre es aconsejable realizarla entre las 11 y las 13 semanas de embarazo. Estas semanas son las óptimas ya que coinciden con la realización del cribado de primer trimestre para el cálculo del riesgo de anomalías cromosómicas fetales.
La anatomía fetal se visualiza mejor a las 13 semanas, pero por lo contrario, empeora el rendimiento de la medida del pliegue nucal (marcador de riesgo de alteración cromosómica). Por dicho motivo, la edad óptima para realizar la ecografía del primer trimestre es a lo largo de la semana 12.
- ¿Cuál es la vía de acceso de la ecografía del primer trimestre?: La vía de acceso que se utiliza es la vía abdominal o transvaginal, en función de las características de la gestante, de la situación del útero, de la posición fetal, etc. La utilización de ambas vías es correcta, y muchas veces la combinación de ambas será la manera óptima de realizar la exploración completa.
- ¿Qué es lo que se estudia en la del primer trimestre? Lo que se debe estudiar es:
- Vitalidad fetal.
- Número de fetos y tipo de placenta.
- Edad de la gestación.
- Estudio anatómico precoz del feto.
- Medida de la traslucencia nucal o pliegue nucal.
- Estudio de la circulación de las arterias uterinas.
- Detección de patología uterina y anexial-ovárica.
- Cribado de preeclamsia.
Esta exploración, al igual que las siguientes son importantes y se deben realizar siempre.
En el Instituto de obstetricia y ginecología de la Dra. Gómez Roig trabajan especialistas expertos en ecografía obstétrica.
Ecografía del Segundo Trimestre
La Ecografía del Segundo Trimestre se recomienda realizar entre las 19-22 semanas de gestación. Aunque es factible realizarla a partir de las 18 semanas, si las condiciones de visualización son óptimas.
El objetivo fundamental de la ecografía del segundo trimestre, que se llama también exploración morfológica, es el diagnóstico de los defectos o anomalías debidas a malformaciones anatómicas fetales.
Si no se puede completar el estudio de la anatomía fetal durante este estudio, se debe programar otra exploración más adelante.
- ¿Cuál es la vía de acceso de la ecografía del segundo trimestre?: La vía de la exploración es abdominal. En determinadas ocasiones, la de segundo trimestre se puede complementar por vía vaginal: para la valoración del polo podálico si es una presentación de nalgas, para conocer la longitud cervical, y la inserción placentaria.
- ¿Qué es lo que se estudia en la del segundo trimestre?: Lo que se debe de estudiar siempre sigue una sistemática de exploración definida. Los protocolos consensuados y aceptados mejoran la tasa de detección de anomalías morfológicas:
- Vitalidad y actitud fetal.
- Biometrías fetales (medidas del feto).
- Evaluación de los anexos: placenta y cordón umbilical.
- Valoración del líquido amniótico.
- Estudio de la anatomía fetal.
- Marcadores de anomalías cromosómicas.
- Doppler de arterias uterinas (estudio de la circulación).
- Medida de la longitud cervical y cribado de prematuridad.
Esta exploración, al igual que la de primer y tercer trimestre, es muy importantes y se debe realizar siempre.
Ecografía del Tercer Trimestre
La Ecografía del Tercer Trimestre tiene como objetivo fundamental el diagnóstico de la restricción de crecimiento y la detección de anomalías fetales tardías, evolutivas o que han pasado inadvertidas a la del segundo trimestre.
- ¿Cuál es la vía de acceso de la ecografía del tercer trimestre?: La vía de la exploración es abdominal. En determinadas ocasiones se puede complementar por vía vaginal: para la valoración del polo podálico en presentaciones fetales de nalgas, estudio de la longitud cervical, así como de la inserción de la placenta.
- ¿Qué es lo que se estudia en la del tercer trimestre?: La sistemática de la exploración incluye:
- Vitalidad y estática fetal.
- El Estudio de la placenta.
- Estudio del líquido amniótico.
- Biometría fetal (medidas fetales y estudio del crecimiento).
- Estudio de la anatomía fetal.
Esta prueba, al igual que las de primer y segundo trimestre se deben realizar siempre.
En el Instituto de obstetricia y ginecología de la Dra. Gómez Roig trabajan especialistas expertos en ecografía obstétrica.
En casos de riesgo o donde se detecta alguna patología como la hipertensión del embarazo o los fetos con restricción de crecimiento fetal se requiere de un estudio más especializado llamado Ecografía Doppler.
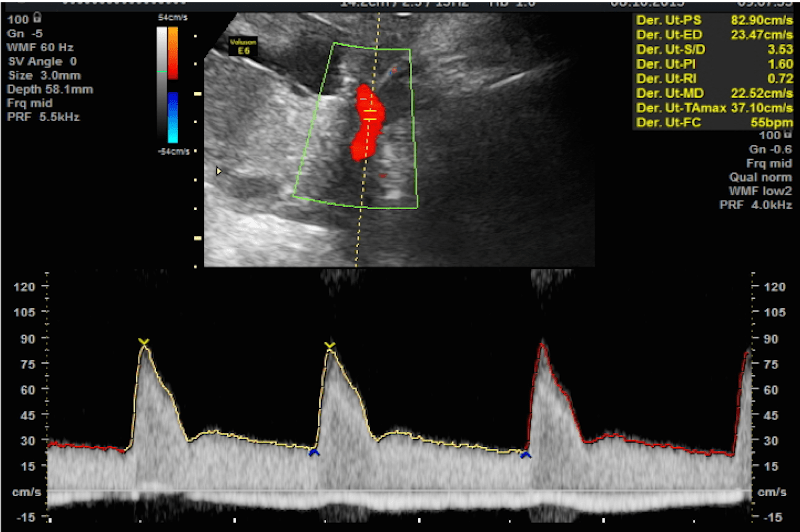
Ecografía Doppler
La Ecografía Doppler estudia el flujo de sangre que pasa a través de las arterias y venas que ponen en contacto la madre, la placenta y el feto.
El estudio de la Ecografía Doppler permite conocer la cantidad de flujo sanguíneo de la circulación, su velocidad y su resistencia en un momento concreto.
Este estudio es una variedad de los ultrasonidos tradicionales, que se utiliza para comprobar el funcionamiento de la placenta y el estado del bebé en gestaciones de riesgo como la hipertensión de embarazo, y los fetos que no crecen bien dentro del útero. En los embarazos múltiples o gemelares, la ecografía Doppler también tiene su utilidad.
La Ecografía de Alta Resolución y Doppler es la prueba que se realiza durante el embarazo que más emociona a la madre y familiares.
Video
¿Qué pasa si realizo más Exploraciones de las recomendadas?
Si realizas más de las tres exploraciones recomendadas en los protocolos actuales no pasa nada.
Los ultrasonidos no presentan efectos adversos para la madre ni para el feto. En ocasiones, cuando visitas a tu médico, a éste y a ti os gusta comprobar el latido fetal con el ecógrafo. Esta practica no es perjudicial por si misma.
Por otro lado, las tres pruebas de primer, segundo y tercer trimestre tienen unos objetivos bien definidos. El resto de exploraciones que se realicen fuera de este protocolo se harán para aportar satisfacción y tranquilidad a la familia y al profesional, más que para estudiar posibles patologías.
En los embarazos de riesgo, se suelen añadir exploraciones adicionales con los ultrasonidos con objetivos propios y de manera preventiva.
Son los médicos quienes deciden las pruebas recomendadas de Ecografías de Alta Resolución y Doppler tras individualizar cada caso.
En el Instituto de obstetricia y ginecología de la Dra. Gómez Roig en Barcelona trabajan especialistas expertos en este tipo de ecografías, así como en el acompañamiento humano y profesional de las embarazadas.
Donde nos puedes encontrar
Estamos ubicados en la Clínica Corachan, Plaça Manuel Corachan, 4 08017 Barcelona. En la segunda planta, despachos 202-203 y 220-221.
De Interés
- Sobre el Autor
- Últimas Entradas

Jefa de Servicio de Obstetricia y Ginecología en el Hospital Sant Joan de Déu de Barcelona. Profesora Agregada de Obstetricia y Ginecología y Coordinadora del Sexto Curso de Medicina en la Universidad de Barcelona, UB. Directora del Instituto Dra. Gómez Roig y Coordinadora de Procesos Obstétricos y Ginecológicos de la Clínica Corachan en Barcelona.
3 comentarios en «Ecografía de Alta Resolución y Doppler»
Los comentarios están cerrados.